

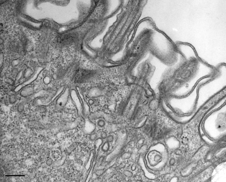
An image of a cell actively undergoing endocytosis that develops an extensive layer of vesicles and cisternae composed for the most part of smooth undecorated membrane. The uncoated cisternae are early endosomes to which uncoated vesicles that first arise as coated vesicles from the parasomal sacs fuse with the cisternae to deposit their load of receptor-mediated cargo. Smaller clathrin-coated vesicles bud from the early endosomes and these are either recycled back to the plasma membrane or move deeper into the cell as carrier vesicles after they lose their clathrin coats. TEM taken on 5/21/79 by R. Allen with Hitachi HU11A operating at 75kV. Neg. 26,250X. The negative was printed to paper and the image was scanned to Photoshop. This digitized image is available for qualitative analysis. An unprocessed, high resolution version of this image (CIL:12614) is in the library and available for quantitative analysis. Standard glutaraldehyde fixation followed by osmium tetroxide, dehydrated in alcohol and embedded in an epoxy resin. Microtome sections prepared at approximately 75nm thickness. Additional information available at (http://www5.pbrc.hawaii.edu/allen/).
Biological Process: Cortical organization, Endosome organization, Clathrin coating of Golgi vesicle, plasma membrane to endosome targeting
Author: Richard Allen (University of Hawaii)
Source: The Cell: An Image Library
Feedback